間質性肺病(ILD):診斷、分類與治療的全方位解析
童綜合 胸腔內科 蔡慶宏主任
1. 前言:被低估的臨床挑戰
間質性肺病(ILD)在過去被視為極度困難的領域,內科專科考試每年約考 2-3 題,主要測試基本概念。然而,這不僅對年輕醫師是挑戰,連擁有 20 年經驗的主治醫師也常感到棘手,甚至需要不斷更新最新的 Update 才能掌握。 ILD 長期被忽略的主因在於其複雜度過高,難以單一疾病概括。
- 流行病學數據補充:根據 GBD 2021 數據顯示,從 1990 年到 2021 年,全球 ILD 的發病數增加了約 150%。這驚人的增幅並非單純因為疾病變多,很大一部分原因來自過去的「診斷不足(Under-diagnosis)」。
2. 臨床案例:診斷迷霧中的探索
透過一個實際案例,展示 ILD 診斷的曲折過程。
- 病患背景:63歲女性,前吸菸者(Ex-smoker,已戒菸 30 年),家中養兩隻狗。
- 用藥史:長期服用睡眠藥物。(Slide S2 補充詳細用藥:Balsalazide [抗發炎], Ibandronate [骨質疏鬆], Conjugated Estrogen [荷爾蒙補充])。
- 病程發展(Timeline):
- 3週前:開始出現運動呼吸困難(Dyspnea on Exertion, DOE)。
- 2週前:胸悶(Chest tightness),伴隨左肩胛下區域的輻射痛(Radiation pain),透過按摩與 NSAIDs 可緩解。
- 伴隨症狀:輕微乾咳(Dry cough)。無發燒、無畏寒、無咳血、無關節痛或皮疹。
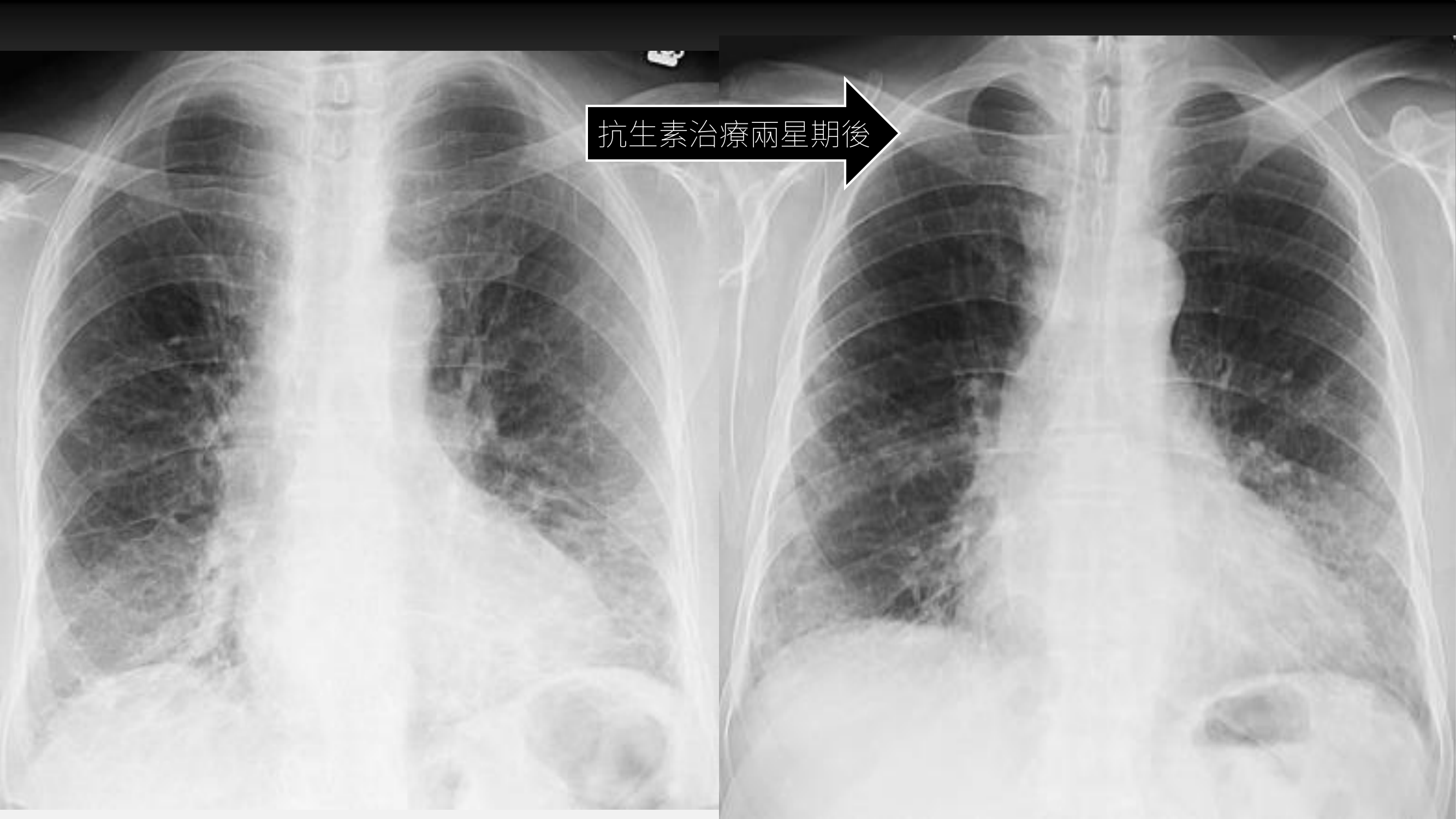
- 影像學判讀(CXR):
- 初步發現:雙側肺紋(Lung marking)增加。右肺中上肺葉紋理增粗至外 1/3,下肺葉出現類似 Foam wrap 的模糊影像。肋膈角(Costophrenic angle)尚清楚,心臟大小正常。
- Pattern 分析:呈現 Interstitial pattern(間質性變化),邊緣可見 Axial interstitial sign(類似 Curly line 的網狀紋理),以及支氣管血管束(Bronchovascular bundle)周圍的間質增厚,疊加部分 Ground glass opacity(毛玻璃狀病變)。
- 治療困境與最終診斷:
- 初期被誤以為肺炎,使用抗生素治療兩週後,影像局部進步但整體變化不大。
- 因缺乏感染徵兆(無發燒),僅以 DOE 為主,後續安排 HRCT。CT 顯示下肺有明顯纖維化(Fibrosis)、Ground glass 及 Interstitial 變化。
- 診斷難度:即便轉診至世界頂尖的哈佛麻省總醫院(MGH),該病患仍經歷了一週住院、兩次門診,最終不得不進行風險較高的 開胸肺切片(Open lung biopsy) 才確診。
- 啟示:這凸顯了 ILD 的診斷極度耗時且困難,常需從影像、病理到臨床反覆推敲。
3. ILD 基礎知識:解剖與病理機轉
3.1 什麼是間質(Interstitium)?
- 定義:間質在解剖上位於肺泡上皮(Alveolar epithelium)與微血管內皮(Capillary endothelium)之間的潛在空間(Potential space)。
- 功能:負責氣體(氧氣與二氧化碳)交換的通道,同時也是支撐肺部結構的重要「鷹架」。
- 分佈範圍:間質無所不在,包含:
- Bronchovascular bundle:沿著中心氣管與血管延伸的結締組織。
- Intralobular interstitial:肺小葉內的間質網。
- Interlobular septum:由肋膜(Pleura)包圍並延伸進來的小葉間隔。
- 病變後果:當間質受損、修復並纖維化後,會導致肺泡壁增厚,直接造成氣體交換受阻(Diffusion impairment)與限制性通氣障礙。
3.2 致病機轉:雙重打擊(Double Hit)
ILD 的發生通常源於「基因」與「環境」的交互作用,稱為「雙重打擊(Double hit)」,類似癌症的發展過程。
- 病理演進 Process:
- 初期啟動:
- Autoimmune:淋巴球活化、分化,過度免疫反應形成肉芽腫(Granuloma)。
- Chronic Inflammation:持續的抗原刺激或環境因子導致慢性發炎。
- 反覆損傷:肺泡內皮細胞反覆受損(Injury)。
- 異常修復:纖維母細胞(Fibroblast)被活化,轉化為肌纖維母細胞(Myofibroblast)。
- 終末纖維化:膠原蛋白過度沉積,導致不可逆的纖維化(Fibrosis)。一旦進入此階段,肺部結構無法回復,藥物僅能減緩惡化。
- 初期啟動:
Slides (S9-S10) 詳細補充:
- 基因因素 (Genetic Factors):端粒相關基因(TRGs)、表面張力素相關基因(SRGs)、MUC5B 啟動子多型性。
- 環境誘因 (Environmental Triggers):吸菸、空氣污染(NO2, PM2.5)、吸入性抗原(黴菌 Molds、鳥類蛋白質 Avian proteins)、特定藥物、病毒感染。
4. 臨床診斷工具與評估流程
4.1 症狀與理學檢查(Physical Exam Clues)
- 典型症狀:
- 漸進式 DOE:時程通常長達數週至數月(Weeks to Months),非急性發作。
- 乾咳:長期且難以緩解。
- 關鍵理學檢查:
- Clubbing finger(杵狀指):約 1/4 到 1/2 的特發性肺纖維化(IPF)病人會出現。
- Velcro crackles(魔鬼氈爆裂音):這是極為重要的早期徵兆。聽診時在肺底部(Lung base)聽到細微、乾燥的吸氣期囉音(Fine, dry, inspiratory crackles),聲音像撕開魔鬼氈。
- Cor pulmonale(肺心症):缺氧久了可能導致肺高壓,出現 P2 心音亢進、頸靜脈怒張、下肢水腫。
- 自體免疫徵兆:(Slide S16) 注意手部特徵,如 Gottron's papules(皮肌炎)、Mechanic's Hands(技工手,抗合成酶症候群)、Sclerodactyly(指硬皮症)。
4.2 病史詢問的藝術(The Art of Inquiry)
診斷 ILD 如同偵探辦案,必須進行極度詳細(Detail)的審問:
- 環境暴露:有無養寵物(鴿子、鸚鵡)、家中寢具(羽絨被)、居住環境(潮濕黴菌)。
- 職業史:金屬煙燻暴露、農夫、裝修工人。
- 藥物史:(Slide S15) 重點藥物包括 Amiodarone(抗心律不整)、Methotrexate(免疫抑制)、化療藥物、Nitrofurantoin 等。
- 吸菸史:非常重要,某些 ILD 與吸菸高度相關(如 RB-ILD, DIP/AMP, PLCH)。
- 家族史:排除家族性肺纖維化。
- 年齡與性別:
- IPF:好發於 60 歲以上男性。
- LAM (淋巴血管平滑肌增生症) / CTD-ILD:好發於女性。
4.3 診斷黃金標準:多專科團隊會議(MDD)
單靠一位醫師很難確診,必須透過 MDD(Multidisciplinary Discussion)。
- 團隊成員:胸腔科、放射科、病理科、風濕免疫科醫師。
- 流程:病史 + 理學檢查 + 血清學 + HRCT -> MDD。
- 血清學檢查 (Serology):
- 主要針對自體免疫疾病(CTD)。
- 基本項目:ANA, RF, Anti-CCP。
- (Slide S16) 進階項目:Myositis panel (Jo-1, PL-7, PL-12, MDA-5)、SSc panel (Scl-70, Centromere, RNA Polymerase III)。
5. 影像學(HRCT)與病理 Pattern 辨識
HRCT(高解析度電腦斷層)是目前診斷的基石(2022 Guidelines),地位甚至超越病理切片。因為切片風險高(氣胸、出血),且能判讀間質病理的專家極少(台灣可能不超過 10 位)。HRCT 判讀需將影像對應到微觀病理。
5.1 常見 Pattern 解析
演講者論述: 影像呈現主要分為四大類:Linear/Reticular(網狀)、Honeycombing(蜂窩狀)、Nodular(結節狀)、Ground glass(毛玻璃)。
1. UIP (Usual Interstitial Pneumonia) - 最重要
- 定義:這是一種影像/病理型態,並非單一疾病名稱。
- 影像特徵 (Slide S26):
- Honeycombing(蜂窩肺):大小不一的囊狀空腔,堆疊如蜂窩。
- Traction Bronchiectasis(牽引性支氣管擴張):因周圍纖維化拉扯導致支氣管擴張。
- 分佈:Subpleural & Basal predominance(貼近胸膜下及肺底部)。
- 臨床意義:看到典型 UIP pattern,若排除已知原因,即為 IPF。
2. NSIP (Non-Specific Interstitial Pneumonia)
- 定義:第二常見的型態,常與 CTD 相關。
- 影像特徵 (Slide S28):
- Ground glass opacity(毛玻璃):均勻的肺密度增加。
- Fine reticular pattern。
- Subpleural sparing:這是關鍵特徵,病變通常不會貼到最外層胸膜,會留有一條黑邊。
- 通常沒有蜂窩肺(Honeycombing)。
3. BIP (Bronchiolocentric Interstitial Pneumonia) - 新概念
- 定義:2024/2025 新分類提出的概念,指「以氣道(細支氣管)為中心」的病變。
- 影像特徵 (Slide S29):
- Centrilobular nodules(小葉中心結節)。
- Mosaic attenuation(馬賽克徵象):氣體滯留導致的黑白相間影像。
- Three-density sign:同時看到黑(氣體滯留)、灰(正常肺)、白(毛玻璃)三種密度。
- 病因:最常見原因為過敏性肺炎(HP),也可能來自吸入性損傷。
6. 2025 年 ILD 新分類系統(Key Update)
自 2013 年後,ILD 分類在 2024/2025 年迎來重大更新(ATS/ERS update)。這次改變是為了讓分類更符合臨床與病理機轉。
四大變革重點 (Slide S32):
- 明確區分特發性與次發性(Idiopathic vs. Secondary):
- 不再將所有不明原因籠統歸類,而是先區分有無已知原因(如 CTD, Drug, HP)。
- 術語調整(Terminology Refinement):
- BIP (Bronchiolocentric Interstitial Pneumonia):新術語,取代舊有的描述,統稱氣道中心病變。
- Idiopathic DAD (Diffuse Alveolar Damage):取代舊稱 AIP (Acute Interstitial Pneumonia),指急性的瀰漫性肺泡損傷。
- AMP (Alveolar Macrophage Pneumonia):取代舊稱 DIP (Desquamative Interstitial Pneumonia)。因為病理發現並非肺泡上皮「脫屑」,而是大量「巨噬細胞」堆積,且此病與吸菸高度相關,改名 AMP 更精確。
- 依病變位置與性質分類:
- 區分為 Interstitial Disorder(間質病變)與 Alveolar Filling Disorder(肺泡填充病變)。
- 間質部分再細分為 Fibrotic(纖維化)與 Non-Fibrotic。
- 引入診斷信心度(Diagnostic Confidence):
- 診斷不再是非黑即白,需標註信心水準:
- Confident (≥90%)。
- Provisional (51-89%)。
- Unclassifiable (<50%)。
- 這有助於後續接手醫師了解該診斷的確定性,避免誤導。
- 診斷不再是非黑即白,需標註信心水準:
Slide S33/S36 分類總表細節:
- Interstitial Patterns: UIP, NSIP, BIP, DAD, LIP, PPFE.
- Alveolar Filling Patterns: OP (Organizing Pneumonia), RB-ILD, AMP, AEP, PAP.
7. 治療策略:精準醫療與分流
治療 ILD 的核心思維在於區分「發炎(Inflammation)」還是「纖維化(Fibrosis)」,這決定了完全不同的治療路徑。
7.1 辨識敵人類型(Slide S39)
- 發炎性 ILD(如 CTD-ILD, COP, Non-fibrotic HP):
- 策略:「滅火」。
- 藥物:類固醇(Steroids)、免疫抑制劑(Immunosuppressants)。
- 纖維化性 ILD(主要是 IPF):
- 策略:「踩煞車」。
- 藥物:抗纖維化藥物(Antifibrotics)。
- 禁忌:(Slide S40) 在 IPF(純纖維化)病人身上使用類固醇或免疫抑制劑(如 Azathioprine),反而會增加死亡率。絕對不能「亂槍打鳥」。
7.2 抗纖維化藥物成效(Slide S41)
- 主流藥物:Nintedanib (Ofev) 與 Pirfenidone (Esbriet)。
- 臨床試驗證據 (INPULSIS & ASCEND Trials):
- 肺功能保護:無法讓已受損的肺功能回復,但能顯著「減緩下降速度」。
- 數據:未用藥者 FVC 每年下降約 200-240ml;用藥者可減少約 50% 的下降速度(每年約下降 100-115ml)。
- 存活率:可延長存活期(過去 IPF 存活率約 2-5 年,預後似肺癌)。
7.3 進行性肺纖維化(PPF, Progressive Pulmonary Fibrosis)
這是一個重要的臨床新概念(過去稱為 PF-ILD)。
- 定義:PPF 不是單一疾病,而是任何 ILD(如 RA-ILD, HP, NSIP)在治療過程中,出現類似 IPF 的「進行性惡化」表型。
- 診斷標準 (Slide S43,過去一年內符合以下三項中兩項):
- 症狀惡化:呼吸困難加劇、咳嗽變嚴重。
- 生理學惡化:FVC(用力肺活量)絕對值下降 ≥5% 或 DLCO(一氧化碳擴散能力)下降 ≥10%。
- 影像學惡化:HRCT 顯示纖維化範圍擴大、出現新的牽引性支氣管擴張或蜂窩肺。
- 治療轉向:一旦判定為 PPF,即使原發病是發炎性的(如類風濕性關節炎),也應立即加上抗纖維化藥物,因為此時單靠免疫抑制劑已不足以控制纖維化進程。
8. 全人照護與結語
治療 ILD 不僅是關注 FVC 數值,更要由「技術專家」轉變為「療癒者」。
- 病患困境:病人常覺得「藥越吃越差」(因為肺功能仍會持續下降,只是斜率變平緩),導致治療順從性低與心理挫折。
- 溝通策略:
- 必須誠實告知疾病的不可逆性(Irreversible),目標是「在絕望中產生希望」。
- 強調治療目的是「維持生活品質」並「延長存活期」,就像透過重量訓練維持肌肉量一樣,是為了活得更久更好。
- 安寧緩和照護(Palliative Care)(Slide S48):
- 觀念導正:安寧不等於臨終(Hospice),而是從診斷早期就介入的症狀控制。
- 介入時機:當症狀負擔高(嚴重喘、咳)、肺功能急速下降、頻繁急診或住院時。
- 自我管理 (Slide S49):
- 肺復健、運動訓練。
- 非藥物緩解技巧(如使用手持風扇緩解呼吸困難)。
- 預立醫療計畫(ACP)。
9. 問答環節(Q&A)重點補充
Q1: 為何病理診斷有限制?免疫染色(IHC)為何無法像癌症一樣精確?
- A: 癌症細胞有特定的突變標記可染色,但 ILD 的病理變化(如纖維化、發炎細胞浸潤)使用的是身體「正常」的細胞(如巨噬細胞、纖維母細胞、淋巴球),只是排列組合錯亂或數量異常,因此 IHC 染不出特異性。且 ILD 往往呈現混合型態(Mixed pattern),是一個動態過程(Process),切片只能看到局部(Snap-shot),難以還原全貌。
Q2: 臨床上如何早期偵測?
- A:
- 警覺時程:注意 Weeks to Months 的慢性呼吸困難,若當作肺炎治療無效,應立即懷疑 ILD。
- 比對舊片:非常關鍵。若發現 X 光異常已存在多年且變化緩慢,高度懷疑 ILD。
- 詳細問診:一定要問職業、寵物、藥物史。
- 檢查順序:CXR 異常 -> HRCT + 肺功能(FVC/DLCO)+ Autoimmune Panel。
Q3: 環境因子與基因檢測的角色?
- A:
- 基因:MUC5B promoter polymorphism 是目前已知最重要的基因因子,但主要用於研究,臨床尚未普及檢測。
- 環境:台灣特有的暴露源值得注意,包括台中地區的金屬加工業(金屬煙燻)、農夫(黴菌/有機粉塵)、以及居家環境的高濕度與雜物堆積(黴菌)。建議病患使用空氣清淨機並改善居家環境。
- AI 角色:AI 目前在 ILD 的鑑別診斷尚不成熟,但在計算纖維化範圍(Quantification)與評估惡化程度上有輔助價值。
